(9 de mayo, 2014).- Científicos del Instituto Nacional del Cáncer de EE UU (NCI, por sus siglas en inglés) han desarrollado un nuevo método para el uso de inmunoterapia en el ataque específico de células tumorales con mutaciones únicas en el cáncer epitelial de un paciente.
Los cánceres que surgen en las células epiteliales –aquellas que revisten las superficies internas y externas del cuerpo, como los que se desarrollan en el tracto digestivo, pulmón, páncreas, vejiga y otras áreas del cuerpo– son los más comunes (representan el 80% de los casos).
El papel del sistema inmunitario en la lucha contra esta enfermedad se conoce desde 1890. Su finalidad es no atacar directamente al cáncer, sino liberar al ejército inmunitario para que luche con todas sus armas.
El trabajo, publicado en el último número de la revista Science, afirma que el sistema inmune humano puede montar una respuesta contra las proteínas alteradas en el transcurso de la patología y que esta respuesta se puede aprovechar para el beneficio terapéutico de los pacientes.
Todos los tumores malignos albergan alteraciones genéticas, algunas de las cuales pueden conducir a la producción de proteínas mutantes, capaces de desencadenar una respuesta inmune antitumoral, según el estudio.
Los cánceres que surgen en las células epiteliales son los más comunes, representan el 80% de los casos
“Se trata de un modelo de diana inmunológica para las mutaciones únicas presentes en el cáncer de cada paciente. El método podrá aplicarse a la inmunoterapia de los tumores más comunes pero, si se individualiza para cada caso, se convertiría en un tratamiento altamente personalizado”, explica a Sinc Steven A. Rosenberg, jefe de la Unidad de Cirugía en el Centro del NCI para la Investigación del Cáncer.
Terapias adoptivas de células T
Recientemente, con el conocimiento de que ciertos tumores malignos tienen determinadas mutaciones, los científicos han generado células T específicas para dichas mutaciones, luego las vuelven a infundir en los pacientes y así generan una respuesta inmune antitumoral, lo que se conoce como terapias adoptivas de células T o ACT.
Aunque el beneficio terapéutico se ha visto en los melanomas, no está claro aún si el sistema inmune humano puede organizar una respuesta de las células T específica para las mutaciones contra los cánceres epiteliales, que a menudo contienen menos mutaciones que dicho tipo cáncer de piel.

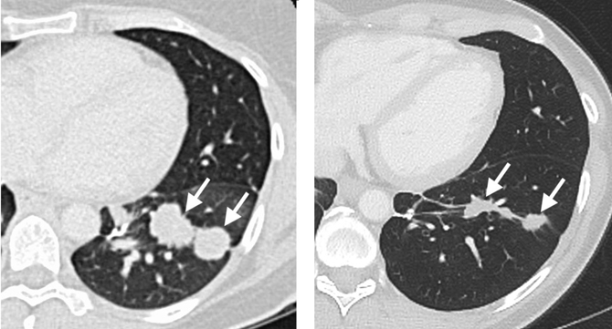
En la imagen puede verse el pulmón de la paciente antes y seis meses después de la ACT. / Jim Yang
La investigación dirigida por Rosenberg muestra que los tumores de melanoma humano a menudo contienen células inmunes ‘mutantes’ llamadas linfocitos infiltrantes del tumor o TIL. La presencia de estas células puede ayudar a explicar la eficacia de la ACT y otras formas de inmunoterapia en el tratamiento del melanoma.
Según los autores, antes de este trabajo no había quedado claro si el sistema inmune humano podría organizar una respuesta eficaz frente a las proteínas ‘mutantes’ producidas por los cánceres de células epiteliales.
Desarrollo del estudio
En esta investigación, Rosenberg y su equipo analizaron los TILs de una enferma de cáncer de las vías biliares con metástasis en el pulmón y en el hígado que no había respondido a la quimioterapia estándar. La paciente, de 43 años de edad, fue inscrita en un ensayo de ACT en el Instituto Nacional de Salud de EE UU (NIH) para los pacientes con cáncer gastrointestinal.
“Si se individualiza para cada caso, se convertiría en un tratamiento altamente personalizado”
Los investigadores primero realizaron la secuenciación completa del exoma, en la que se analizan las regiones codificantes de proteínas de ADN, para identificar las mutaciones que las células inmunes del paciente pueden reconocer.
Otras pruebas mostraron que algunos de los TIL de la paciente reconocieron una mutación en una proteína llamada proteína de interacción ERBB2 (ERBB2IP). La enferma entonces se sometió a una transferencia celular adoptiva de 42.400 millones de TILs, aproximadamente el 25% de los cuales eran ERBB2IP –responsables principalmente de la activación de otras células con el fin de ayudar a la inmunidad celular–.
Después, los científicos le dieron cuatro dosis del medicamento contra el cáncer interleucina-2 para mejorar la proliferación y la función de células T. Tras la transferencia de los TILs, los tumores metastásicos de hígado y pulmón de la paciente se estabilizaron. Transcurridos unos 13 meses, fue tratada de nuevo con ACT. En esta ocasión el 95% de las células transferidas eran células T mutantes.
Tras el tratamiento, la paciente experimentó una regresión del tumor seis meses después de la segunda infusión de células T. Los autores indican que estos resultados evidencian que se puede aprovechar la respuesta de las células T contra una proteína mutante para mediar el retroceso de un cáncer metastásico de células epiteliales.
“Dado que un obstáculo importante para el éxito de las inmunoterapias para el cáncer gastrointestinal y otros es la aparente baja frecuencia de células T reactivas al tumor, estas estrategias se podrían utilizar para generar una ACT en pacientes con cánceres comunes”, concluye Rosenberg.


